Periodontia é uma especialidade da odontologia que se concentra no diagnóstico, tratamento e prevenção das doenças periodontais, que afetam as estruturas de suporte dos dentes, incluindo as gengivas, o osso alveolar e o ligamento periodontal, sendo as mais comuns a gengivite e a periodontite.
Periodontite
A periodontite é uma doença oral inflamatória crônica que destrói progressivamente o aparelho de suporte dentário. Ela geralmente se manifesta como um agravamento da gengivite e então, se não for tratada, com o afrouxamento e perda dos dentes. Outros sintomas são raros, exceto em pacientes com infecção pelo HIV ou com formação de abscessos, situações nas quais a dor e o edema são comuns. O diagnóstico baseia-se em inspeção, exploração do periodonto e nas radiografias. O tratamento envolve limpeza dental que se estende sob os tecidos gengivais e programa domiciliar rigoroso de higiene bucal. Casos avançados podem requerer antibióticos e cirurgia.
Fisiopatologia da periodontite
A periodontite costuma se desenvolver quando a gengivite, frequentemente com placa e cálculo (uma concreção de bactérias, resíduos alimentares, saliva e muco com sais de cálcio e fosfato) abundantes abaixo da margem gengival, não foi tratada de maneira adequada. Na periodontite, bolsas profundas se formam no tecido periodontal e podem abrigar microrganismos anaeróbios que causam mais lesões que aqueles comumente presentes na gengivite simples. Os organismos colonizadores são Aggregatibacter actinomycetemcomitans, Porphyromonas gingivalis, Eikenella corrodens e muitos bacilos Gram-negativos.
Os organismos desencadeiam a liberação crônica dos mediadores inflamatórios, incluindo citocinas, prostaglandinas e enzimas a partir de neutrófilos e monócitos. A inflamação resultante afeta o ligamento periodontal, gengiva, cemento e osso alveolar. A gengiva perde progressivamente sua inserção nos dentes, começa a perda óssea e as bolsas periodontais se aprofundam. Com a perda óssea progressiva, os dentes podem apresentar mobilidade e a gengiva sofre retração. A migração dentária é comum em estágios posteriores e pode ocorrer perda de dentes.
Fatores de risco de periodontite
Fatores de risco modificáveis que contribuem para a periodontite incluem










Abordar essas condições pode melhorar os resultados do tratamento da periodontite.
Classificação da periodontite
A classificação de doenças e condições periodontais da American Academy of Periodontology (1) distingue 3 modalidades de periodontite:
Periodontite necrosante
A periodontite necrosante é uma doença particularmente virulenta com progressão rápida caracterizada por


A periodontite necrosante tipicamente ocorre em pacientes com comprometimento do sistema imunitário e, assim, é chamada periodontite associada ao HIV porque o HIV é uma causa comum.
Clinicamente, ela se parece com a gengivite ulcerativa necrosante aguda combinada com periodontite generalizada agressiva. Os pacientes podem perder 9 a 12 mm de tecido conjuntivo periodontal em apenas 6 meses.
Doenças periodontais necrosantes são patologias de rápida progressão que causam perda de tecidos mole e ósseo, principalmente em pacientes portadores do vírus HIV, com baixo nível de linfócitos T-CD4+ e alta carga viral.


Em alguns pacientes, a inflamação também envolve a cavidade oral, causando estomatite necrosante ou uma variante potencialmente fatal, noma (cancrum oris).
Periodontite como uma manifestação direta de doença sistêmica
Considera-se a periodontite uma manifestação direta de doença sistêmica em pacientes com inflamação desproporcional à placa bacteriana ou a outros fatores locais e que também têm uma doença sistêmica. Mas distinguir se uma doença causa a periodontite ou contribui para periodontite induzida por placas é muitas vezes difícil.
Doenças sistêmicas associadas à doença hematológica que podem se manifestar como periodontite incluem
Doenças sistêmicas associadas com distúrbios genéticos que podem se manifestar como periodontite incluem
Classificação por estágios:
A periodontite também é classificada por estágios, que indicam a gravidade da doença:
Estágio I e II: Perda óssea leve a moderada, sem perdas dentárias.
Estágio III e IV: Perda óssea moderada a grave, com possíveis perdas dentárias.
Considerações importantes:
A periodontite pode ser localizada ou generalizada, dependendo da extensão da doença.
A velocidade de progressão da periodontite pode ser lenta, moderada ou rápida.
A periodontite pode ser mais grave em pessoas com fatores de risco como tabagismo ou diabetes descompensada.
O tratamento da periodontite pode variar dependendo do tipo e do estágio da doença, mas geralmente envolve higiene oral adequada, tratamento odontológico e, em alguns casos, cirurgia.
Periodontite
A gravidade da doença é classificada como estágios I a IV e a velocidade de progressão como graus A a C (1).
A periodontite pode começar entre a primeira infância e a idade adulta. Em 2009, aproximadamente 47% da população foi afetada com algum grau de periodontite; 64% dos adultos ≥ 65 anos tiveram periodontite moderada ou grave (2).
Fatores de gravidade importantes são:
Outras condições periodontais
Outras doenças periodontais incluídas nas designações da AAP são abscessos periodontais, periodontite associada a lesões endodônticas, deformidades e doenças adquiridas ou de desenvolvimento e doenças peri-implantares.
Abscessos periodontais são acúmulos de pus que geralmente ocorrem nas bolsas preexistentes, algumas vezes relacionados com material estranho impactado. O tecido pode ser rapidamente destruído, o que pode provocar a perda de dentes.


A periodontite associada a lesões endodônticas envolve uma comunicação entre a polpa e os tecidos periodontais.


Nas deformidades e condições desenvolvimentais ou adquiridas, oclusão dental deficitária, ocasionando carga funcional excessiva em alguns dentes, além de placas e gengivite, podem contribuir para a progressão de um tipo específico de periodontite caracterizada por defeitos ósseos angulares.
Referências sobre classificação
Sinais e sintomas da periodontite
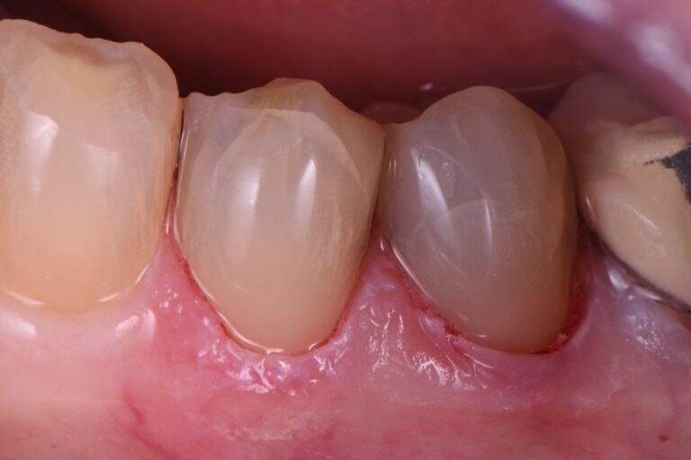
A dor é geralmente ausente, a não ser que uma infecção aguda se desenvolva em uma ou mais bolsas periodontais, ou se houver periodontite associada ao HIV. A impactação alimentar nas bolsas pode causar dor durante as refeições. Placa bacteriana abundante, associada a hiperemia, edema e exsudato, é característica. As gengivas podem ser sensíveis e sangrar facilmente, e a respiração pode estar comprometida. À medida que os dentes amolecem, particularmente quando apenas um terço da raiz está no osso, a mastigação torna-se dolorosa.
Diagnóstico da periodontite
Inspeção de dentes e gengiva, combinada à exploração das bolsas gengivais e aferição de suas profundidades, quase sempre é suficiente para o diagnóstico. Bolsas mais profundas que 4 mm indicam periodontite.
Radiografias dentais revelam perda do osso alveolar adjacente às bolsas periodontais.
Tratamento da periodontite
Modificar os fatores de risco, como má higiene oral e tabagismo, melhora os resultados. Para pacientes com diabetes, o controle adequado dos níveis de glicemia é importante.
Para todas as formas de periodontite, a primeira fase do tratamento consiste em minuciosa raspagem (limpeza profissional com instrumentos manuais ou ultrassônicos) e alisamento radicular (remoção de cemento ou dentina enfermo ou acometidos por toxinas, seguida do alisamento da raiz) para a remoção da placa bacteriana e de depósitos de cálculos. Higiene bucal meticulosa é necessária e inclui escovação cuidadosa e uso de fio dental para ajudar a limpar. Pode incluir compressas de clorexidina ou enxagues. Um higienista dental deve ajudar o paciente a seguir esses procedimentos. O paciente é reavaliado após 3 semanas. Se a profundidade das bolsas não exceder 4 mm nesse ponto, o único tratamento necessário é a limpeza regular. Às vezes um retalho do tecido gengival é feito para permitir acesso à raspagem e alisamento das partes mais profundas da raiz.
Se as bolsas periodontais profundas persistirem, antibióticos sistêmicos podem ser utilizados. Esquema comum é amoxicilina, 500 mg por via oral 3 vezes ao dia, durante 10 dias. Ademais, gel contendo doxiciclina ou microesferas de minociclina pode ser aplicado em bolsas isoladas e persistentes. Esses medicamentos são reabsorvidas em 2 semanas.
Outra abordagem é a eliminação cirúrgica das bolsas periodontais, recontornando o osso (cirurgia de redução/eliminação de bolsa periodontal), de tal forma que o paciente possa realizar a limpeza do sulco entre o dente e a gengiva. Em certos pacientes, a cirurgia regenerativa e a aplicação de enxertos ósseos são feitas para estimular o crescimento do osso alveolar. A fixação dos dentes com mobilidade e o remodelamento seletivo das superfícies dentais podem ser necessários para eliminar o trauma oclusal. Extrações são frequentemente necessárias na doença avançada. Os fatores sistêmicos contribuintes devem ser controlados antes do início da terapia periodontal.
Muitos pacientes com periodontite ulcerativa necrosante associada ao HIV respondem ao tratamento combinado com raspagem e alisamento, irrigação do sulco com iodopovidona (que o dentista aplica com uma seringa), uso regular de enxágues bucais com clorexidina e antibióticos sistêmicos, geralmente metronidazol, 250 mg por via oral 3 vezes ao dia, durante 14 dias (1, 2).
A periodontite agressiva localizada requer cirurgia periodontal, mais antibióticos orais (p. ex., amoxicilina 500 mg, 4 vezes ao dia ou metronidazol 250 mg, 3 vezes ao dia durante 14 dias).
Referências sobre o tratamento
Postos-chave