A Medicina Dentária apresenta uma área específica para o tratamento da cárie que afeta 90% das pessoas – a Dentisteria.
O que é a dentisteria estética

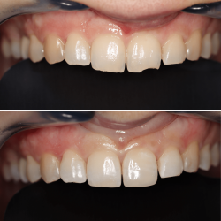
É a área da Medicina Dentária responsável pelo restauro e reabilitação de dentes a nível da estética dos mesmos ou seja é uma área da Medicina Dentária muito ampla, que se dedica essencialmente ao tratamento dos dentes com vista à recuperação das suas formas, funções e cor, perdidas por lesões de cárie, de desgaste dentário, traumatismos, fatores genéticos e ambientais, entre outros.
Em que consiste a dentisteria estética
Estética nunca se pode sobrepor a função, sendo sempre uma consequência da saúde oral. É o mesmo que dizer que, sem Saúde Oral não conseguimos obter um resultado com melhorias estéticas do sorriso. Hoje em dia através de técnicas conservadoras conseguimos corrigir defeitos estéticos nos dentes que noutros tempos seriam impossíveis de corrigir.
Normalmente recorremos a resinas compostas ou cerâmica para corrigir cor, tamanho, forma, fecho de diastemas (espaços entre os dentes). E fazêmo-lo de modo conservador, com o mínimo desgaste de dente ou mesmo sem qualquer desgaste.
A importância da dentisteria estética
A estética não é um conceito universal, é muitas vezes cultural, temporal e acima de tudo pessoal! Segundo uma das mais controversas definições de saúde da Organização Mundial de Saúde - "Saúde não é meramente a ausência de doença, mas sim um bem estar físico, psíquico e social" e isto traduz o quanto o nosso amor próprio desempenha um papel importante na nossa vida.
O sorriso é o nosso cartão de visita, é tão pessoal como uma assinatura.
A Medicina Dentária teve uma evolução surpreendente ao longo dos anos o que permitiu que a população tenha expectativas cada vez mais altas no campo da estética do sorriso. Estamos ao dispor dos nossos pacientes para ao abrigo da tecnologia e técnicas mais recentes atingir essas expectativas.
Segredo para um sorriso natural
A primeira impressão começa com um sorriso. E quando se trata de cuidar dele, a Dentisteria Estética desempenha um papel essencial.
O sorriso é um dos elementos mais expressivos do rosto, capaz de transmitir emoções, gerar empatia e aumentar a confiança. Com o avanço das técnicas e materiais, a Medicina Dentária Estética evoluiu significativamente, permitindo alcançar resultados cada vez mais naturais e personalizados.
Uma vez que a Dentisteria Estética é uma especialidade da Medicina Dentária focada na reabilitação da forma, cor e função dos dentes, com o objetivo de melhorar a harmonia do sorriso. Vai muito para além da simples questão estética: trata-se de devolver ao paciente a confiança e o bem-estar através de um sorriso funcional e bonito.
Que problemas resolve
A Dentisteria Estética intervém em várias situações, tais como:
O objetivo é sempre restaurar a integridade e a naturalidade do sorriso, utilizando materiais modernos e técnicas minimamente invasivas.
Como são feitos os tratamentos
Os procedimentos de Dentisteria Estética são altamente personalizados. O médico dentista analisa cuidadosamente a morfologia facial e dentária de cada paciente, bem como os seus objetivos estéticos, para definir o melhor plano de tratamento.
Algumas das técnicas mais comuns incluem:
Que materiais são utilizados
Os materiais mais utilizados na Dentisteria Estética incluem resinas compostas, cerâmicas dentárias e porcelanas, todos cuidadosamente selecionados para garantir um resultado natural, duradouro e compatível com os tecidos orais.
Estes materiais evoluíram significativamente ao longo dos anos, oferecendo maior resistência, estética e biocompatibilidade.
Benefícios dos tratamentos estéticos
Além da melhoria visível do sorriso, os tratamentos de Dentisteria Estética trazem inúmeros benefícios adicionais:
Perguntas frequentes (FAQ)
Na Clinica Sorriso e Arte, tratamos cada caso de forma individualizada, garantindo resultados naturais, duradouros e com foco no seu bem-estar.